Skip to main content
Close
Search
Help
Topics
Features
Blogs
Video
Podcasts
Magazine
Archive
Subscribe
Newsletter
About Us
Advertise
Login
Register
Twitter
Facebook
YouTube
LinkedIn
American Scientist
Open navigation
Search
Help
Login
Topics
Medicine
Agriculture
Anthropology
Art
Astronomy
Biology
Chemistry
Communications
Computer
Economics
Engineering
Environment
Ethics
Evolution
Mathematics
Medicine
Physics
Policy
Psychology
Sociology
Technology
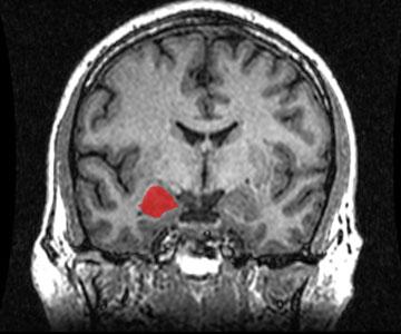
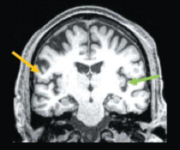
Looking Through the Eye and into Alzheimer’s Disease
Peter Jeffrey Snyder
Medicine
All
Cartoon
Features
Podcast
Video
All
Cartoon
Features
Podcast
Video
Policies Support Miners’ Health
Katie L. Burke
Environment
Medicine
Policy
Spotlight
Nanoscale Science
Fenella Saunders
Chemistry
Engineering
Medicine
Physics
Technology
Cytology
Spotlight
Kicking Cocaine
Douglas Small
Medicine
Brain Surgery Without a Knife
Joseph Wilson
Medicine
Spotlight
Tracking Patterns in Systems
Economics
Mathematics
Medicine
Ecology
Human Ecology
Spotlight
In Memory of Dianne Timblin
Fenella Saunders
Medicine
Genetics
From The Editor
Messenger RNA Can Do More for Medicine
Wei Tao
,
Xiangang Huang
Biology
Engineering
Medicine
Genetics
Immunology
In Sickness and in Health
Rena Selya
Medicine
Sociology
History Of Civilization
Review
Scientists Nightstand
Books
Weathering Space
James Welsh
,
Robert Peter Gale
,
Andrew Karam
Engineering
Medicine
Astrophysics
Physiology
Finding Humanity in Health Data
Rachel Sharp
Anthropology
Medicine
Sociology
Social Science
Macroscope
Rethinking Adult ADHD
Margaret Sibley
Medicine
Psychology
Body Parts, Reimagined
Jason M. Organ
Biology
Medicine
Anatomy
Scientists Nightstand
Books
Inspired by Immunity
Biology
Medicine
Cytology
Immunology
Spotlight
Getting to the Heart with AI
Akilah Abdulraheem
Biology
Medicine
Technology
Physiology
Spotlight
A Revolutionary Drug to Treat and Prevent HIV Infection
John Raul Somoza
Medicine
Virology
When the Body Turns on Itself
Jane Buckner
Medicine
Immunology
Working Out for Better Gut and Heart Health
Biology
Medicine
Genetics
Physiology
From The Staff
Psychedelics Move Toward Mainstream Medicine
Gregory A. Fonzo
,
Charles B. Nemeroff
Anthropology
Chemistry
Medicine
Policy
Sociology
Cytology
Physiology
Cancer Fiends for Fructose
Jameson Blount
Biology
Evolution
Medicine
Cytology
Genetics
Zoology
Spotlight
Computer-Designed Antibiotics
Fenella Saunders
Biology
Computer
Evolution
Medicine
Technology
Genetics
Natural History
Redefining Normal
Brody H. Foy
Computer
Medicine
Technology
Spotlight
Bookcases and Bedpans
Ainissa Ramirez
Biology
Engineering
Medicine
Genetics
Microbiology
Technologue
Exercise, the Gut Microbiome, and Blood Pressure
Biology
Medicine
Genetics
Immunology
Physiology
From The Staff
A Window into the Origins of Brain Surgery
Margot Kelly-Hedrick
Medicine
Anatomy
Science Culture
Custom-Tuned Materials
Fenella Saunders
Chemistry
Engineering
Medicine
Physics
Technology
Crystallography
Metallurgy
Mineralogy
Spotlight
Gliflozins for Diabetes: From Bark to Bench to Bedside
Philip A. Rea
Biology
Medicine
Anatomy
Botany
Cytology
Physiology
Walling Off Invaders
Taylor Tibbs
Biology
Evolution
Medicine
Cytology
Immunology
From The Staff
Treating the Side Effects
Fenella Saunders
Medicine
Genetics
Immunology
Sightings
Buckling Without Breaking
Meagan Mulcair
Biology
Engineering
Medicine
Physics
Technology
Anatomy
Animal Behavior
Morphology
Physiology
Zoology
From The Staff
When Pigs Save Lives
Haley Alexander
Biology
Medicine
Genetics
How Can You Mend a Broken Heart?
Maggie DeMonia
Biology
Medicine
Anatomy
Cytology
Physiology
From The Staff
Can Giraffes Get Stressed Too?
Kayla Fulkerson
Biology
Medicine
Animal Behavior
Physiology
Zoology
From The Staff
Nonantibiotic Medications May Help Fight Superbugs
Mariana Noto Guillen
Biology
Medicine
Spotlight
From Flu Season to Fire Season
Jennifer Lawson
Environment
Medicine
Scientists Nightstand
Books
Ancient Viruses Inadvertently Aided the Evolution of Primate Brains
Hannah Kania
Biology
Evolution
Medicine
Anatomy
Genetics
Virology
From The Staff
Unscrambling the Signal of Higher Vaccine Exemptions
Brian G. Southwell
,
Mary Klotman
,
Reed V. Tuckson
Medicine
Immunology
Macroscope
Bird Flu Evolves on the Wings of Wild Birds
Jameson Blount
Medicine
Immunology
From The Staff
Toward Finding Resilience
Anca Frasineanu
Biology
Medicine
Genetics
From The Staff
Discovering the Urinary Microbiome
Alan J. Wolfe
,
Linda Brubaker
Biology
Medicine
Microbiology
Wearable, Wireless Electronics
Fenella Saunders
Chemistry
Computer
Engineering
Medicine
Technology
Metallurgy
Spotlight
The COVID Commission That Never Was
Katie L. Burke
Medicine
Immunology
Science Culture
How Trustworthy is Memory?
The Editors
Biology
Medicine
Psychology
From The Staff
Poverty and Neuroscience
Jordan Anderson
Economics
Ethics
Medicine
Policy
Psychology
Sociology
Human Ecology
Physiology
Social Science
Spotlight
To Fix the Brain, Look to Other Nerves
Sara Manning Peskin
Biology
Medicine
Scientists Nightstand
Books
Genomic Prediction in the Big Data Era
Gustavo de los Campos
,
Daniel Gianola
Biology
Mathematics
Medicine
Technology
Genetics
Statistics
Changing Policies on COVID-19 Transmission
Katie L. Burke
Biology
Engineering
Medicine
Policy
Virology
Spotlight
Medical Imaging in Increasing Dimensions
Ge Wang
Medicine
Technology
Obesity's Lasting Effect on Brain Signals
Donovan Garner
Biology
Medicine
Anatomy
From The Staff
Building Better Growth Curves
William E Bennett
Medicine
Anatomy
Physiology
Statistics
How to Speed Up Virus Detection
Natalie Nold
Medicine
Technology
Virology
Macroscope
Relativity and the World of Molecules
Abhik Ghosh
,
Kenneth Ruud
Astronomy
Chemistry
Medicine
Physics
Physicians Need Caregiving Support Policies
Katie L. Burke
Medicine
Policy
Spotlight
Advances in Personalized Medicine
Raeanne Geffert
Biology
Chemistry
Medicine
Technology
Macroscope
Arsenic and PFAS found in Guatemala City's Public Water
Kirsten Giesbrecht
Chemistry
Engineering
Medicine
From The Staff
Modeling Digestive Diseases
Imani Vincent
Biology
Medicine
From The Staff
The Early Years of Brain Imaging
David Warmflash
Medicine
Technology
Anatomy
Perspective
Antimicrobial Resistance Is Just the Tip of the Iceberg
Kirsten Giesbrecht
Medicine
Microbiology
From The Staff
A Resurgence of Respiratory Viruses
Katie L. Burke
Biology
Medicine
Virology
Spotlight
The History of Vaccine Uptake in Taiwan
HungYin Tsai
Anthropology
Medicine
Social Science
Convergent Engineering
Engineering
Medicine
Letters To The Editor
Personalizing Pregnancy Care
Jasmine Johnson
Medicine
Technology
Spotlight
A Template for Analyzing Racism in Health Care
Jasmine Johnson
Ethics
Medicine
Review
Scientists Nightstand
Science Culture
How Living in a Racist Society Makes People Sick
Flora Taylor
Ethics
Medicine
Review
Scientists Nightstand
Science Culture
Cancer Nanomedicine
Patrick Couvreur
Biology
Medicine
Essay
A Thriving Innovation Ecosystem
Robert Buderi
Biology
Medicine
Technology
Excerpt
Scientists Nightstand
Books
Replacing Injections with Oral Medications
Nicholas A. Peppas
,
Olivia L. Lanier
Medicine
Technology
Technologue
Suffocating from Medical Bias
Gilda Ann Barabino
,
Harriet B. Nembhard
Ethics
Medicine
Ethics
Unlocking Joint Pain with Microscale Devices
Meagan Makarczyk
,
Michael S. Gold
,
Hang Lin
Biology
Medicine
Technology
Essay
3D Printing Medical Devices
Fenella Saunders
Biology
Medicine
Technology
Spotlight
Fixing Joints That Appear Beyond Repair
Cato Thomas Laurencin
,
Debolina Ghosh
Medicine
Technology
Why Permanent Standard Time Is Best for our Bodies
Erin E. Flynn-Evans
,
Cassie J. Hilditch
Biology
Evolution
Medicine
Animal Behavior
Macroscope
Briefings
Stacey Lutkoski
Astronomy
Communications
Medicine
Animal Behavior
Spotlight
How Bacterial Pathogens Emerge
Salvador Almagro-Moreno
Biology
Evolution
Medicine
Microbiology
It's Time to Stop Gatekeeping Medical Transition
Henri Feola
Ethics
Medicine
Policy
Psychology
Social Science
Macroscope
COVID-19 and Loss of Brain Mass
Jessica Bernard
Biology
Medicine
Spotlight
Tiny Lights in the Brain's Black Box
Madeline Klinger
,
Markita Landry
Medicine
Technology
Pandemic Data Collection in Authoritarian Regimes
Scott Gabriel Knowles
Medicine
Policy
Spotlight
Economics and Public Health During a Pandemic
Scott Gabriel Knowles
Economics
Medicine
Spotlight
Briefings
Stacey Lutkoski
Astronomy
Biology
Medicine
Botany
Spotlight
Fixing Broken Biological Clocks
Katie L. Burke
Biology
Medicine
Physiology
Spotlight
Preparing for Tomorrow’s Pandemics, Today
Amanda Rossillo
Medicine
Virology
From The Staff
Treat Human Subjects with More Humanity
David B. Resnik
Ethics
Medicine
First Person: Insoo Hyun
Corey S. Powell
Biology
Ethics
Medicine
Perspective
Minibrains: What's in a Name?
Melissa Lopes
,
Richie E Kohman
,
Jeantine E Lunshof
,
Bruna Paulsen
,
Martina Pigoni
,
Alexandra White
,
John Aach
,
Insoo Hyun
Biology
Medicine
Technology
Perspective
First Person: Stephaun Elite Wallace
Efrain E. Rivera-Serrano
Communications
Medicine
Policy
Spotlight
Who Dares to Speak Up?
Marc A. Edwards
,
Carol Yang
,
Siddhartha Roy
Ethics
Medicine
Social Science
Ethics
Genetic Blind Spots
Constance B Hilliard
Biology
Medicine
Genetics
Spotlight
The Trust Fallacy
Nicole M Krause
,
Dietram A. Scheufele
,
Isabelle Freiling
,
Dominique Brossard
Communications
Medicine
First Person: Zaneta M. Thayer
Scott Gabriel Knowles
Anthropology
Biology
Medicine
Virology
Spotlight
Physicians of the Manhattan Project
Jonathan D. Moreno
Ethics
Medicine
Physics
Scientists Nightstand
Books
Integrating Big Data Into Surveillance Models to Inform Decision-Making for COVID-19
The Editors
Computer
Medicine
Virology
From The Staff
Remembrance of Germs Past
Marc Hellerstein
Biology
Medicine
Virology
Unequal Burden of Urban Heat
Henri Feola
Medicine
Climatology
Spotlight
How Best to Foster Healthy Behaviors
Christopher Hamlin
Biology
Medicine
Policy
Psychology
Scientists Nightstand
Social Science
Books
Bringing Clarity to COVID-19 Testing
Katie L. Burke
Medicine
Spotlight
Bringing Clarity to COVID-19 Testing [Extended Version]
Katie L. Burke
Medicine
Virology
The Long View
Does In-Person Schooling Contribute to COVID-19 Spread?
Jennifer Dowd
,
Chloe Gibbs
,
Lindsey Leininger
Medicine
Policy
Virology
Macroscope
Why People Receiving the COVID-19 Vaccines Still Need to Wear Masks
Efrain E. Rivera-Serrano
Medicine
Immunology
Virology
From The Staff
Could Infections Make Us Vulnerable to Alzheimer's Disease?
Islam Hussein
Medicine
Perspective
Vaccines, Antiscience Beliefs, and Future Pandemics
Efrain E. Rivera-Serrano
Medicine
Virology
The Long View
Live Bacteria Show Promise in Treating Childhood Eczema
Ian Myles
Biology
Medicine
Spotlight
No Droplets From Drills
Fenella Saunders
Medicine
Physics
Microbiology
Virology
Sightings
A Pandemic of Confusion
Jeffrey H. Toney
,
Stephanie Ishack
Communications
Medicine
Virology
Science Communication
More Testing, Faster Testing
Katie L. Burke
Medicine
Virology
From The Staff
Pathogens and Pandemics
Fenella Saunders
Biology
Medicine
Microbiology
Special Collections
Virology
From The Staff
First Person: Peter Jay Hotez
Robert Frederick
Medicine
Virology
Spotlight
What Do Antibody Tests Tell Us?
Medicine
Virology
Infographic
What It Will Take to Reopen Schools Safely
Sandra Albrecht
,
Malia Jones
,
Aparna Kumar
,
Lindsey Leininger
Ethics
Medicine
Policy
Macroscope
What Parkinson's Reveals About the Artistic Spark
Matthew Pelowski
,
Blanca T. M. Spee
,
Alby Richard
,
Paul Krack
,
Bastiaan R. Bloem
Art
Medicine
Psychology
Arts Lab
How Art Can Heal
Girija Kaimal
Art
Medicine
Psychology
Arts Lab
What COVID-19 Misinformation Says About All of Us
Brian G. Southwell
Communications
Medicine
The Long View
COVID-19 Is Inspiring Innovation
Aranka Anema
Medicine
Technology
Cartography
Social Science
The Long View
COVID-19 Models Demand an Abundance of Caution
Timothée Poisot
Computer
Mathematics
Medicine
Macroscope
Social Distancing and Connection
Fenella Saunders
Art
Biology
Communications
Medicine
From The Editor
The Rise of Parkinson's Disease
E. Ray Dorsey
,
Todd Sherer
,
Michael S. Okun
,
Bastiaan R. Bloem
Agriculture
Environment
Medicine
Policy
Heat, Illness, and Hope in Coal Country
Ruoding Shi
Economics
Environment
Medicine
Macroscope
Optimal Conditions for Viral Transmission
Cassandra Hockman
Biology
Medicine
Virology
Macroscope
Answers to FAQs About the Coronavirus Pandemic
Jessie Abbate
Biology
Medicine
Virology
Macroscope
Cancer Care Is Getting Better, But Also More Expensive
Hannah McGillivray
,
Richard J. Wassersug
Medicine
Revealing the Invisible
Fenella Saunders
Astronomy
Environment
Medicine
Technology
From The Editor
Briefings
Stacey Lutkoski
Astronomy
Communications
Environment
Evolution
Medicine
Ecology
Spotlight
Shape-Shifting Cell Receptors
Lauren Gravitz
Biology
Chemistry
Medicine
Spotlight
First Person: Mona Hanna-Attisha
Katie L. Burke
Environment
Ethics
Medicine
Policy
Human Ecology
Spotlight
On the Scent Trail of Parkinson's Disease
Katie L. Burke
Biology
Chemistry
Medicine
Spotlight
Briefings
Astronomy
Biology
Communications
Computer
Medicine
Technology
Spotlight
The Flavor of Serendipity
Gary K. Beauchamp
Biology
Chemistry
Medicine
Physiology
Briefings
Astronomy
Communications
Environment
Medicine
Physics
Spotlight
Glow-in-the-Dark Vampire Bats Could Help Curtail Rabies
Gabriela Serrato Marks
Biology
Medicine
Ecology
Spotlight
Midcentury Orthodontia
Biology
Evolution
Medicine
Anatomy
Letters To The Editor
Learning to Diagnose
Anthropology
Medicine
Letters To The Editor
Perinatal Depression and Precision Psychiatry
Robert Frederick
Medicine
Psychology
Physiology
From The Staff
Beyond Genetics
Robert Frederick
Biology
Medicine
Genetics
Physiology
From The Staff
The Root of Misaligned Jaws
Sandra Kahn
,
Paul R. Ehrlich
Biology
Evolution
Medicine
Anatomy
Briefings
Anthropology
Art
Biology
Evolution
Medicine
Physics
Spotlight
Pill Organizers as Organized Design
Henry Petroski
Engineering
Medicine
Engineering
Eliminating Sex Bias in Biomedical and Clinical Research
Robert Frederick
Biology
Medicine
From The Staff
In Search of Your Inner Bat
Michael S. A. Graziano
Biology
Medicine
Anatomy
Excerpt
Scientists Nightstand
Books
Tumbling Microrobots for Future Medicine
David J. Cappelleri
,
Chenghao Bi
,
Maria Guix Noguera
Engineering
Medicine
Technology
Technologue
The Evolution of the Nursing Home
Muriel R. Gillick
Anthropology
Economics
Medicine
Policy
Excerpt
Scientists Nightstand
Books
Is Drug Addiction a Brain Disease?
Marc Grifell
,
Carl L. Hart
Medicine
Policy
Psychology
Social Science
Origami-inspired Medical Implants
Fenella Saunders
Engineering
Medicine
Sightings
Follow the Evidence
Fenella Saunders
Biology
Evolution
Medicine
Psychology
From The Editor
Neuroscience as Neuroart
Dianne Timblin
Art
Medicine
Physiology
Review
Scientists Nightstand
Science Culture
Down Syndrome, the Immune System Disorder
Katie L. Burke
Evolution
Medicine
Genetics
Spotlight
Briefings
Biology
Communications
Medicine
Physics
Microbiology
Spotlight
Progress Against Viruses in Animal Reservoirs
Robert Frederick
Biology
Evolution
Medicine
Microbiology
Virology
From The Staff
Seeing the Heart's Power
Robert Frederick
Biology
Medicine
Technology
Anatomy
Sightings
Understanding the CRISPR Craze
Robert Frederick
Agriculture
Biology
Chemistry
Engineering
Medicine
Technology
Cytology
Genetics
From The Staff
Structural Support for Damaged Tissue Repair
Treena Livingston Arinzeh
,
Jennifer Moy
,
Gloria Portocarrero Huang
Biology
Medicine
Technology
Anatomy
Metformin Approval
Biology
Chemistry
Medicine
Letters To The Editor
The Two Faces of Nanotechnology
Omowunmi "Wunmi" Sadik
Medicine
Technology
Technologue
An Illness Observed: A Conversation with Julie Rehmeyer
Dianne Timblin
Biology
Medicine
Physiology
Scientists Nightstand
Books
Bio-Responsive Smart Drug Delivery
Fenella Saunders
Biology
Medicine
Technology
From The Staff
Metformin: Out of Backwaters and into the Mainstream
Philip A. Rea
,
Anderson Y. Tien
Biology
Chemistry
Medicine
Policy
Blood, Guts, and Hope
Carl M. Schoellhammer
,
Robert Samuel Langer
,
Carlo Giovanni Traverso
Biology
Medicine
Cancer Chemotherapy During Pregnancy
Robert Frederick
Chemistry
Ethics
Medicine
Policy
Reproduction
From The Staff
Mosquito Vectors of Zika
Biology
Medicine
Letters To The Editor
First Person: Herman O. Sintim
Fenella Saunders
Biology
Chemistry
Medicine
Microbiology
Spotlight
Harnessing the Web to Track the Next Outbreak
Aranka Anema
,
Carly R. Winokur
,
Chi Bahk
,
Sumiko Mekaru
,
Nicholas Preston
,
John S. Brownstein
Medicine
Technology
Anthropogeography
Human Ecology
Colonial Vaxxers
Ryan Seals
Biology
Medicine
Microbiology
Review
Scientists Nightstand
Books
Zika Goes Viral
Robert Dorit
Environment
Medicine
Sociology
Perspective
Tugging at Hearts
Robert Frederick
Biology
Evolution
Medicine
Anatomy
Sightings
Testing the Toxicity of Black Cohosh
Robert Frederick
Chemistry
Medicine
From The Staff
New Brain Insights from Cochlear Implants
Michael Dorman
Biology
Medicine
Technology
The Long View
Briefings
Biology
Computer
Medicine
Spotlight
Using Computing to Advance Toxicology
Robert Frederick
Biology
Chemistry
Computer
Medicine
Technology
From The Staff
Briefings
Biology
Communications
Medicine
Physics
Archaeology
Spotlight
Big Data and the Individual Patient
Sandra J. Ackerman
Biology
Medicine
Genetics
From The Staff
Mistrust, Metaphor, and Medicine
Katie L. Burke
Medicine
Sociology
Review
Scientists Nightstand
Social Science
Virology
Books
Carbon Nanotubes Deliver in Medicine
Khuloud T. Al-Jamal
Medicine
Thoroughly Modern Microbes
Margaret Clark
Medicine
Policy
Microbiology
Review
Scientists Nightstand
Books
When the Cause of Stroke Is Cryptic
David Kent
,
David Thaler
Medicine
Journeys to the Brink
Ram Ramabhadran
Medicine
Technology
Review
Scientists Nightstand
Books
What Everyone Should Know about Statistical Correlation
Vladica Velickovic
Ethics
Medicine
Statistics
Ethics
Why Is It So Hard to Stop Sports Concussions?
Stephen Piazza
Medicine
Physics
Psychology
Technology
Technologue
Preventing Spread of an Avian Influenza Strain as an Army Veterinarian
Katie L. Burke
,
Katie-Leigh Virginia Corder
Biology
Medicine
Human Ecology
Virology
From The Staff
Precision Medicine Takes Aim at Cancer
Sandra J. Ackerman
Biology
Medicine
Spotlight
First Person: Exploring the Unconscious Brain
Sandra J. Ackerman
Medicine
Spotlight
"The Sight That Met Us Was Shocking"
Dianne Timblin
Medicine
Review
Scientists Nightstand
Books
Engineered Molecules for Smarter Medicines
Darlene K. Taylor
,
Uddhav Balami
Medicine
Technology
How to Fight Back Against Antibiotic Resistance
Gautam Dantas
,
Morten O. A. Sommer
Evolution
Medicine
One Family's Search to Explain a Fatal Neurological Disorder
Nissa Mollema
,
Harry Orr
Biology
Medicine
Slipping Past Cancer's Barriers
Mauro Ferrari
Engineering
Medicine
Technology
Technologue
Night Shift Belly
Jenny Jennings Foerst
Medicine
Physiology
Science Observer
The Silver Lining
Fenella Saunders
Medicine
Aesthetics
Review
Scientists Nightstand
Books
Stents to Prevent Stroke
Stephen Lownie
,
David M. Pelz
Medicine
Technology
Alzheimer's Disease: The Great Morbidity of the 21st Century
Charles T. Ambrose
Medicine
Athletics and Herbal Supplements
David Senchina
Biology
Medicine
Series of Milestones
Fenella Saunders
Communications
Mathematics
Medicine
Physics
Review
Scientists Nightstand
Books
Doctors Wanted: No Women Need Apply
and
The Hidden Malpractice
Elizabeth C. Patterson
Ethics
Medicine
Sociology
Review
Scientists Nightstand
Books
Aquatic Invasive Species: Lessons from Cancer Research
Adam Joel Sepulveda
,
Andrew Ray
,
Robert Al-Chokhachy
,
Clint Muhlfeld
,
Robert Gresswell
,
Jackson Gross
,
Jeff Kershner
Environment
Medicine
Animal Behavior
Zoology
Civil Liberties and the War on Smallpox
Ryan Seals
Medicine
Policy
Books
The Geography of Illness
Christopher Hamlin
Medicine
Review
Scientists Nightstand
Books
Porphyria Perspective
Biology
Chemistry
Medicine
Letters To The Editor
A Climate of Ill Health
Noel Castree
Environment
Medicine
Human Ecology
Books
A Walk in the Woods
Anna Lena Phillips
Biology
Medicine
Psychology
Science Observer
Rationally Engineering Chemo
Morgan Ryan
Chemistry
Engineering
Medicine
Science Observer
River Blindness: An Old Foe
Biology
Medicine
Virology
Letters To The Editor
Cancer Progress for Whom?
Medicine
Letters To The Editor
Zeroing in on Cancer
Carlos F. Amabile-Cuevas
Biology
Medicine
Virology
Macroscope
Inspiring Art and Science
Art
Medicine
Letters To The Editor
Ivermectin and River Blindness
Philip A. Rea
,
Vivian Zhang
,
Yelena S. Baras
Ethics
Medicine
Policy
Finding Alzheimer's Disease
Ralf Dahm
Biology
Medicine
Just-as-good Medicine
David Kent
Economics
Medicine
Macroscope
Help, Harm and Human Subjects
Sheldon Krimsky
Ethics
Medicine
Policy
Review
Scientists Nightstand
Books
A Little Context, Please
Biology
Medicine
Microbiology
Letters To The Editor
Mitochondrial Death Channels
Keith A. Webster
Biology
Medicine
Cytology
Did Mercury Harm Darwin?
Chemistry
Medicine
Letters To The Editor
Darwin's Enigmatic Health
Keith Thomson
Medicine
Marginalia
Seeking Heat
Biology
Medicine
Letters To The Editor
The Blue Baby Syndromes
Roger P. Smith
Biology
Environment
Medicine
Macroscope
Healing Heat: Harnessing Infection to Fight Cancer
Uwe Hobohm
Biology
Medicine
Immunology
In the Land of Plenty
Robert Dorit
Evolution
Medicine
Microbiology
Review
Scientists Nightstand
Books
Listening to Resveratrol
David Kent
Biology
Medicine
Macroscope
Statins: From Fungus to Pharma
Philip A. Rea
Biology
Chemistry
Medicine
Botany
Choosing One's Battles
Barry Castleman
Environment
Medicine
Review
Scientists Nightstand
Books
The Neglected Side of Parkinson's Disease
Ted L. Rothstein
,
C. Warren Olanow
Biology
Medicine
For a Few Atoms More
Roald Hoffmann
Chemistry
Medicine
Psychology
Sociology
Animal Behavior
Marginalia
The AIDS Industry in Africa
Robert Dorit
Medicine
Sociology
Review
Scientists Nightstand
Books
Dogs, Genes and Drugs
Evolution
Medicine
Genetics
Letters To The Editor
Salivary Diagnostics
David T.W. Wong
Art
Biology
Chemistry
Medicine
Technology
Brave New Worlds
Robert Dorit
Medicine
Policy
Genetics
Review
Scientists Nightstand
Books
Our Bodies, Our Selves
Susan M. Squier
Biology
Medicine
Policy
Technology
Review
Scientists Nightstand
Books
Two Tales of a City
Christopher Hamlin
Medicine
Sociology
Human Ecology
Review
Scientists Nightstand
Books
By Any Other Name
Robert Dorit
Communications
Medicine
Marginalia
Picturing to Learn
Felice Frankel
Art
Communications
Medicine
Sightings
Why We Develop Food Allergies
Per Brandtzaeg
Biology
Environment
Evolution
Medicine
Microbiology
When Averages Hide Individual Differences in Clinical Trials
David Kent
,
Rodney Hayward
Medicine
Statistics
Reflected Light?
Barry Allen
Medicine
Review
Scientists Nightstand
Books
Genetic Strategies for Controlling Mosquito-Borne Diseases
Fred L. Gould
,
Krisztian Magori
,
Yunxin Huang
Biology
Engineering
Medicine
Genetics
Why We Age
Kimberly Hughes
Biology
Evolution
Medicine
Review
Scientists Nightstand
Books
Something Wicked This Way Comes
Robert Dorit
Environment
Medicine
Review
Scientists Nightstand
Virology
Books
Fighting Cancer Through the Study of Sarcomas
Igor Matushansky
,
Robert Maki
Medicine
Genetics
The Shape of Plagues to Come
Robert Dorit
Biology
Environment
Medicine
Sociology
Review
Scientists Nightstand
Books
More Misfoldings
Biology
Evolution
Medicine
Microbiology
Letters To The Editor
An Engineering Approach to Translational Medicine
Michael Liebman
Engineering
Medicine
Genetics
Macroscope
Indicting Big Pharma
Arthur Caplan
Ethics
Medicine
Psychology
Review
Scientists Nightstand
Books
Lessons from Wounded Flies
Biology
Medicine
Genetics
Microbiology
Science Observer
The Mouse House
Rachel Ankeny
Biology
Medicine
Review
Scientists Nightstand
Books
The Origins of AIDS?
Biology
Evolution
Medicine
Ecology
Virology
Letters To The Editor
Mad-Cow Disease in Cattle and Human Beings
Paul Brown
Biology
Medicine
Hard to Swallow
Tim Royappa
Economics
Medicine
Review
Scientists Nightstand
Books
Professors, Inc.
Robert Hotz
Biology
Economics
Medicine
Human Ecology
Review
Scientists Nightstand
Social Science
Books
Amphibian Decline and Emerging Disease
Joe Kiesecker
,
Lisa Belden
,
Katriona Shea
,
Michael Rubbo
Environment
Medicine
Policy
Microbiology
Nature Conservation
Survival of the Fittest Molecule
Willem Stemmer
,
Brett Holland
Biology
Evolution
Medicine
In Declarations Begin Responsibilities
Susan Lederer
Ethics
Medicine
Sociology
Review
Scientists Nightstand
Books
Antibiotic Alternatives
Medicine
Microbiology
Letters To The Editor
Alzheimer's Disease
Vernon Ingram
Biology
Chemistry
Medicine
Influenza
Robert G. Webster
,
Elizabeth Walker
Environment
Medicine
Load more
×
AMSCI ICON NAVIGATION:
Navigation Menu
Search
Help
Log In, Register
My AmSci
Select Options
(not present on all pages)
Click "American Scientist" to access home page
×